Trächtigkeitstagebuch
Trächtigkeitstagebuch
Sheena & Askan
Wir erwarten einen Wurf von Sheena und Askan um den 23.3.2026
Sheena hatte am 20.01.2026 ein Date mit Tiroler Aussies Men in Black „Askan“. Wir erwarten Welpen um den 23.3.2026.
Nähere Infos zu Askan unter:
25.01.2026 : Sheena verhält sich momentan noch wie immer. Ist gut gelaunt und freut sich ihres Lebens. Bisher zeigen sich noch keine Trächtigkeitsanzeichen. Am kommenden Mittwoch gehts zur Herpesimpfung. Da wird dann auch der Ultraschalltermin festgelegt.
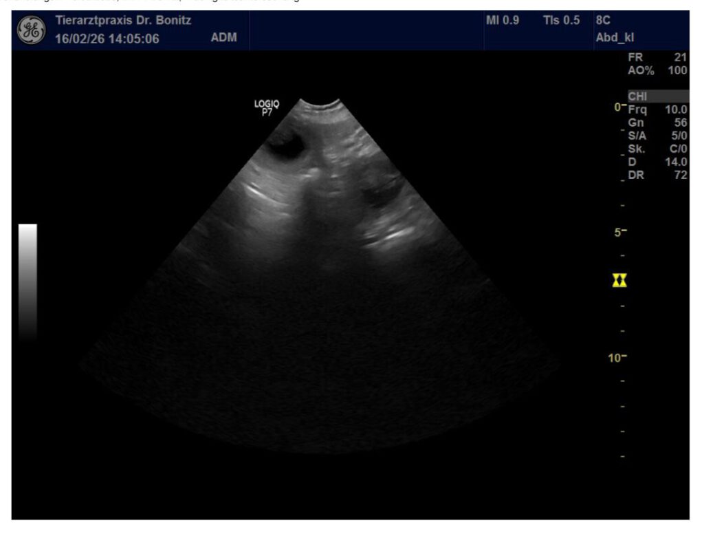
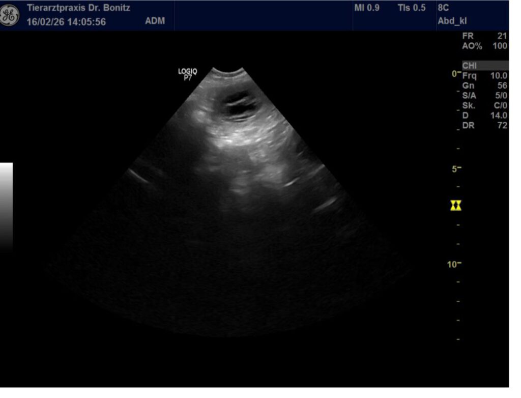
Wir waren am 17.02.2026 beim Trächtigkeitsultraschall und es konnten mindestens 4-5 Welpen gezählt werden. Die Entwicklung ist dem Trächtigkeitszeitpunkt entsprechend. Sheena lässt sich bisher noch immer nichts anmerken, was aber auch hier normal ist.
22.02.2026 Sheena bekommt nun seit einigen Tagen eine erhöhte Futtermenge und die passenden Zusätze, die sie für die Welpen nun braucht. Aktuell merkt man, dass sie wesentlich verschmuster ist als sonst. Sie kommt öfter zum Bauchgraulen und schläft tatsächlich sogar dabei ein, was ich so außerhalb der Trächtigkeit bei ihr nicht kenne. Sie ist nach wie vor super fit und hat Spass an allen Aktivitäten. Beim Sport muss sie jetzt allerdings kürzer treten, da sie mir dabei zu sehr hochfährt.




15.03.2026 Sheenas Körperumfang hat sich massiv vergrößert. So langsam merkt man auch die ersten Welpenbewegungen im Bauch. Am Wochenende haben wir die neue Wurfbox zusammengebaut und aufgestellt. Jetzt ist alles bereit für die nahestehende Geburt. Sheena ist noch super fit.
22.03.2026 Sheena macht es spannend. Seit gestern hat sie immer mal wieder kurze Phasen in denen sie unruhig wird. Sie hat inzwischen ein Gewicht von ca 26 kg (+5kg über Normalgewicht). Die Welpenbewegungen sind sehr deutlich zu spüren. Wir warten nun auf den Temperaturabfall, der die Geburt einläutet.
25.03.2026
Nach einer unruhigen Nacht kamen am 24.03.2026 8 bildhübsche Welpen zur Welt. Näheres dazu im Wurftagebuch.
Auf einen Blick
- Wurf erwartet für den 23.3.26
- Askan und Sheena
